
Smile Makeover
Ready to Make a Change?
Have you wanted to rejuvenate your smile for a while? Or have you just realized a change is possible? It's time to put your insecurities in the past. Contact our friendly Austin team to get started with a comprehensive smile makeover consultation.
Why Undergo a Smile Makeover? You'll See Benefits Like These
Smile Makeovers Raise Your Confidence
When you feel unhappy with your smile, you may shy away from everyday activities, like laughing or talking. At long last, you can enjoy renewed confidence — one of the biggest advantages of a smile makeover.
Smile Makeovers Can Improve Your Health
Though cosmetics is their main goal, smile makeovers can both refine your appearance and improve your oral health. For example, orthodontics allow you to floss easier, minimizing plaque and tooth decay. As big proponents of patient education, we can detail more health benefits during your visit.
Smile Makeovers Are Fully Customizable
Together, we'll create a personally-tailored cosmetic dentistry plan that takes into account your specific ideas of a beautiful smile, like brighter enamel, straighter teeth, and uniform tooth sizing. We even offer two sedation options to help keep you calm during treatment.
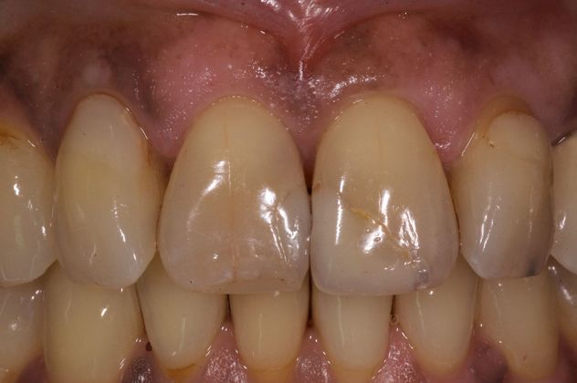
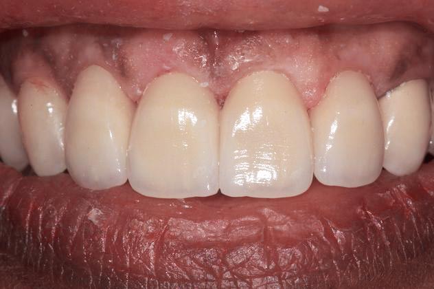
What Cosmetic Dentistry Options Are Used in a Smile Makeover?
We Also Plan Restorative Care
/
Missing a tooth or teeth? Need a cavity treated? You may be a candidate for treatments such as dental implants, dental crowns, or fillings. Though they are commonly used as restorative treatments, options like Nobel Biocare dental implants and crowns can round out your smile makeover. That way, your teeth can be healthy and beautiful.
Let Our Austin, TX, Patients Put You at Ease
This has been my dental office since 2011 and my experience on every visit has always been outstanding. Whether it is communicating with front desk staff, treatments by the dental hygienist or exams and dental work by Doctors Meek and Tasch, I am always treated professionally and with expertise. I have had fillings replaced, crowns made (both dentists do beautiful work) and bi-annual cleanings. This office is the best and I highly recommend them!
View on GoogleThey’re the best. I have had such bad experiences with dentistry for a variety of reasons at other places. But at 38th St Dental Im always happy with how expert, respectful the team is. Above all, every single person is professional, and focused on high quality. I always leave happy and confident with a super treatment and being treated super to boot. Can’t believe I’m saying it but I’m not scared of the dentist anymore thanks to y’all!!
View on GoogleDon't Sacrifice Quality In the Name of Cost
The team at our dental office in Austin, TX, strives to provide the best techniques, technology, and materials to our patients – but we also don't want to put your dream smile out of reach. We take your budget into mind by accepting low-interest financing from LendingClub® and CareCredit®.






