
Dental Implants Cost
See What Investing In Implants Can Do For You
What Are Dental Implants And Why Are They So Popular?
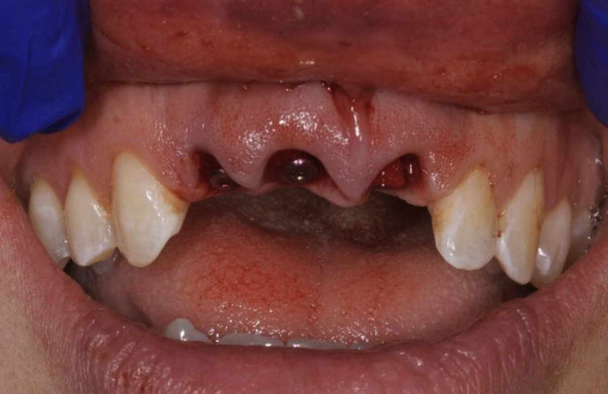
A dental implant-supported restoration consists of three parts: the implant, an abutment, and a restoration. A dental implant is an artificial tooth root. An abutment connects the implant to your restoration (dental bridge, crown, or dentures). Dental implants, abutments, and restorations are priced separately.
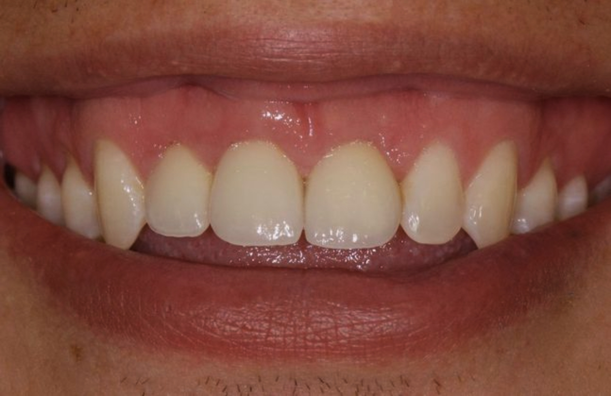
Implants have a higher cost than traditional restorative dentistry procedures, but for qualifying candidates, dental implants are the best solution for replacing missing natural teeth.
Implants provide the highest level of support and stability for restorations. For example, dentures supported by implants will never slip, and contribute to a stronger bite. Dental implants also prevent the jawbone recession that is caused by missing teeth. No other tooth replacement option provides these invaluable benefits.
Budgeting For Dental Implants
The dentists at our Austin, TX, dental office accept CareCredit® so that patients can comfortably budget for dental implants. CareCredit is a third-party financing option that breaks dental payments into convenient monthly installments with little or no interest. We also accept cash payments, as well as American Express, Discover, MasterCard, and Visa.
Reviews of Our Dental Implant Experts
38th Street Dental is the best! Dr. Meek and staff always make you feel welcome. They don't treat you like the typical no-name patient; they treat you like one of their own and make you feel special! They have state of the art equipment which makes treatment plans spot-on and more efficient and effective. Surprisingly their prices are quite reasonable as well. I have received better care and better prices here (ie. lower cost out of pocket) than my In-Network Dental plan, which I no longer use.
View on GoogleI love Dr. Tasch and this practice. Dr. Tasch truly listens, and I'm so lucky to have found him. Everyone at 38th Street is so professional and kind. They always listen to my concerns, and give me the BEST treatment plan, that I can afford.
View on Google*According to the American Dental Association’s Health Policy Institute cost survey, as reported by Forbes



