
Mike Meek, DDS Fellow of the Academy of General Dentistry
A Spotlight on Dr. Meek's Specialty Life-Changing Implant Treatment in Austin
Dr. Mike Meek enjoys giving patients their smiles back with the help of dental implants and other treatments. He especially enjoys restoring the smiles of patients who have lost teeth due to accidental physical trauma. He and his dental team of compassionate professionals strive to provide patients with the treatment they need and the care they deserve.
Dr. Meek's Education
Dr. Meek earned his Bachelor of Science degree in Biochemistry from Trinity University in San Antonio before pursuing his doctorate at the University of Texas Health Science Center Dental School, San Antonio. This dental school has been consistently ranked the number-one dental education center in the United States.
Dr. Meek and Dr. David Tasch opened their Austin, TX, dental practice in 1997. Quality, not quantity, has always been the goal of each and every dental procedure. Dr. Meek began using his dental training in implant dentistry on day one of practice, restoring cases that the periodontist who previously owned the dental practice had ready for him.
Academy of General Dentistry Fellowship
Dr. Meek completed the requirements for Fellowship with the Academy of General Dentistry and received the award in Philadelphia in 2012. Attaining Fellowship is a rigorous process that requires five years of membership in the AGD, over 500 hours of continuing education, and passing a certification exam.
Don't your family's teeth deserve a dentist who is willing to go the extra mile to provide the very best care using the most advanced procedures? Make our Austin, TX, dental office your family's new home for outstanding care.
Dr. Meek's Professional Affiliations
Request an Appointment With Dr. Meek Put Your Smile in the Hands of Austin's Best
Are you new to Austin or need to establish ongoing dental care with a leading area dentist? We invite you to book a consultation with Dr. Meek, a dentist you can count on to provide the best care for your teeth. You can request an appointment with our dentist online or give us a call.
A Closer Look at Dr. Meek's Journey and Life Outside the Office
"I love the diversity in the community as well as the diversity that the medical center brings. Everyone is welcome in my practice."
Patients Share Their Stories From 38th Street Dental Dr. Mike Meek Invites You to Our Austin Dental Practice
Dr.Meek and his staff are first class. I’ve been a patient for more than 15 years. I always look forward to visiting.
View on GoogleIt's not just Dr. Meek...it's his entire staff from top to bottom and that has always been the case since my first visit there. You couldn't be in better hands... literally.
View on GoogleChanging Lives With Dental Implants
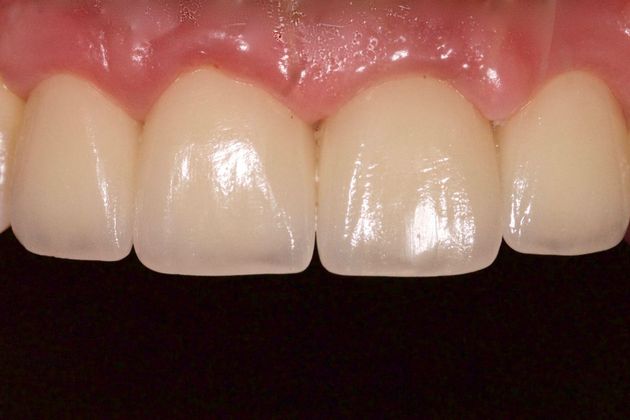
Dental implants are one of the most significant developments in dentistry in the last 100 years. That's because they not only provide the absolute best support for replacement teeth, but also stop the bone atrophy that can affect the jaw following tooth loss. No other dental treatment can provide these benefits.
Though implants can be life-changing, it takes the right dentist to help you achieve the best possible outcome. As an authority on dental implants, Mike Meek, DDS, offers exceptional implant dentistry at our Austin office. Here is just one case in which Dr. Meek was able to rebuild a patient's smile with dental implants:
Why Cindy Trusts Our Dentists “You can tell that Dr. Meek has carefully selected a wonderful team.”
After being referred to Dr. Meek by her colleagues, Cindy was won over by the service and personalized care she received. She was impressed with how Dr. Meek goes out of his way to make sure patients are comfortable and happy with their results. Cindy is glad to be a member of our extended family of patients at 38th Street Dental.
More High Praise for Dr. Meek and His Team
"38th Street Dental is the best! Dr. Meek and staff always make you feel welcome... I have received better care and better prices here (ie. lower cost out of pocket) than my In-Network Dental plan, which I no longer use. I highly recommend 38th Street Dental. I only wish I had found them when I moved into Austin years ago. Great Job Dr. Meek and Team! Thank You!"
Gwen P.







