Cosmetic Dentistry in Austin, TX
Being unhappy with your smile can harm your self-esteem and quality of life.
Through the power of cosmetic dentistry, you can achieve a smile you can happily share.
Find out why 38th Street Dental is the top choice for cosmetic dentistry in Austin, TX, by meeting with our expert dentists.

Better Smile
Better Life
/
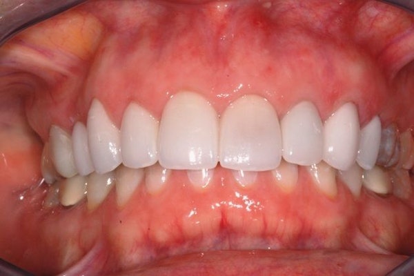
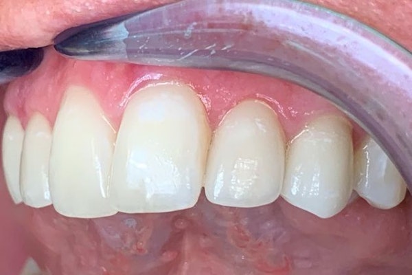
Cosmetic flaws can cause you to hide your smile. This may harm your overall well-being. Psychological Bulletin reviewed the results of studies including over 11,000 people across the globe. They found that smiling does in fact make people happier. Our veneers, teeth whitening, dental implants, and more can allow you to smile freely and confidently whenever you want to.
Nothing Speaks Louder Than Our Dramatic Results
Enhance Your Smile Contact Us for a Consultation
Stained, chipped, crooked, or missing teeth can negatively affect your life by causing you to hesitate to smile. Fortunately, the cosmetic dentists at 38th Street Dental in Austin, TX, can give you a beautiful and lasting smile makeover.
Interested in high-tech cosmetic dentistry in Austin? Request a consultation with our respected dentists today. You can contact us online or give us a call.
Call Us: (512) 458-6222

Hear from Our Patients We Have Over 450 5-Star Google Reviews
As always Dr. Meeks, Dana (sorry if I remembered your name wrong) the hygienist, and the front office team provided excellent, efficient and professional care in a most welcoming, friendly manner. Thank you, 38th Street for your great service!
View on GoogleMy entire family has been going to Dr. Tasch for years. I have never had anything but great experiences. He is a talented dentist, the staff is top notch, the equipment state of the art and the office is lovely!
View on GoogleAnother Phenomenal Review
"As a patient for almost 12 years I could not be happier with the service and people at 38th St. Dental!!"
Perry Fowler
Common Questions About Cosmetic Dental Care Costs
Are Cosmetic Procedures Covered by Insurance?
Unfortunately, insurance does not cover most cosmetic treatments. However, insurance typically covers treatments like dental crowns when they are used for medical reasons. Some insurance plans will also cover part of Invisalign. Our team can answer all insurance questions and seek maximum benefits on your behalf.
Does 38th Street Dental Accept Financing?
Yes! Our cosmetic dentists hate to see Austin patients delay improving their smiles because of budgetary concerns. We accept two financing options to keep treatment affordable. LendingClub® provides low-interest loans for dental patients. CareCredit® similarly allows you to make dental payments in convenient low- or no-interest monthly installments.
Some Combinations Come With Discounts
/
We are always seeking additional ways to help patients confidently afford the smile of their dreams. We offer discounts on certain combinations of cosmetic procedures at our Austin, TX, office.
Reach Out to Us For Elite, Affordable Care
Our team personalizes care, utilizes cutting-edge technology, and strives to work within your budget. All you have to do to benefit from these commitments is call (512) 458-6222 or write to our team today.
Our Entire Team Earns Great Reviews
This has been my dental office since 2011 and my experience on every visit has always been outstanding. Whether it is communicating with front desk staff, treatments by the dental hygienist or exams and dental work by Doctors Meek and Tasch, I am always treated professionally and with expertise. I have had fillings replaced, crowns made (both dentists do beautiful work) and bi-annual cleanings. This office is the best and I highly recommend them!
View on GoogleThey’re the best. I have had such bad experiences with dentistry for a variety of reasons at other places. But at 38th St Dental Im always happy with how expert, respectful the team is. Above all, every single person is professional, and focused on high quality. I always leave happy and confident with a super treatment and being treated super to boot. Can’t believe I’m saying it but I’m not scared of the dentist anymore thanks to y’all!!
View on GoogleWe Provide
Sedation Dentistry
As we mentioned among the reasons patients choose our practice, our team takes care of dental anxiety. This goes beyond the extraordinarily welcoming atmosphere we provide.
We offer two types of dental sedation to make your cosmetic procedures more relaxing and pain-free. We can provide oral conscious sedation to put you in a dreamlike state or nitrous oxide to eliminate fear by inducing euphoric feelings.
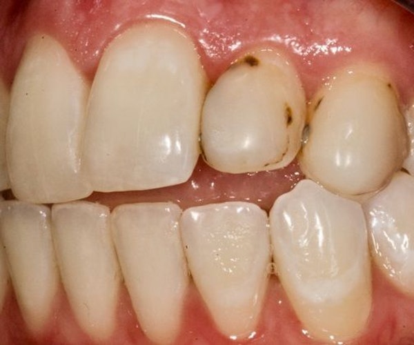
We Can Also Fix Results You Don't Love
Cosmetic care that no longer–or never did–achieve its intended results can be disheartening. Our team can improve cosmetic results you don't like from another dentist. We can also replace older cosmetic dentistry work that has lost its luster.
Restorative Dentistry
May Be the Best Solution
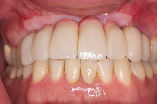
A healthy smile is just as important as a beautiful smile. We also offer a number of restorative services that can revitalize your oral health and dental function.
Many restorative procedures naturally improve aesthetics as well. For example, a dental bridge can replace multiple consecutive missing teeth. This improves form, function, and appearance.
Drs. Meek and Tasch can handle any compromised smile. Our dentists actually specialize in full mouth reconstructions. These personalized treatment plans restore affected by disease, decay, and tooth loss.
Frequently Asked Questions About Cosmetic Dentistry
Does cosmetic dentistry hurt?
No. Many treatments, like porcelain veneers and teeth whitening, are practically painless and typically do not even require anesthetic. Our dentists need to alter more of the tooth structure for treatments like dental crowns or tooth-colored fillings, so they will thoroughly numb the area before treatment begins. We also offer sedation options at our Austin dental practice for those with dental anxiety or phobia.
Is cosmetic dentistry worth it?
A beautiful smile is just as important as a healthy smile. Patients with aesthetic concerns often feel self-conscious about their smile before treatment. Cosmetic dentistry corrects or conceals these concerns, giving a boost of self-confidence so you can share your smile with the world.
How long will my results last?
This will depend on the treatment you received and how you care for your smile. With proper care, porcelain veneers and dental crowns can last for 15 years or more. Dental bonding lasts between three and 10 years. With the right maintenance, the results of Invisalign will last a lifetime.
How much does cosmetic treatment cost?
The cost of cosmetic care will differ for each patient based on factors like the type and scope of treatment. For example, a patient who gets one veneer will pay less than a patient who gets multiple veneers. This is because it takes less time and material to do one veneer.
We're always happy to answer your questions about cosmetic dentistry. Reach out to us at any time for more information.
More Rave Reviews For Our Austin Practice
Great experience from start to finish. First time visiting the dentist since the pandemic and I selected the right office. Nice use of technology to make the appointment convenient and wonderful people every step of the patient journey.
View on GoogleAwesome team and Dr’s. I’ve been going to 38 Street Dental for 5+years now I always feel welcomed and and taken care of! Thanks
View on Google















