Cosmetic Dentistry: Full Arch Porcelain Veneers-A Real Makeover
Description
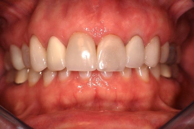
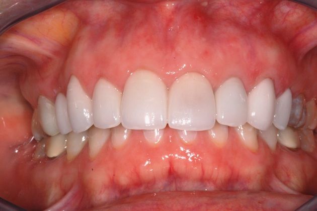
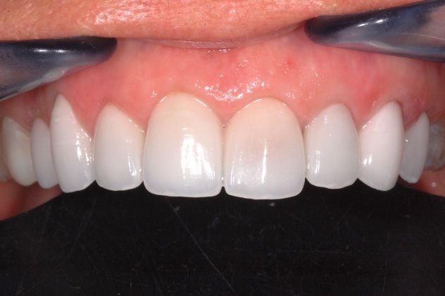
I placed porcelain veneers for this patient 20 years ago. Both of us aged and the dentistry finally needed updating. Emax ceramic veneers were fabricated for the anterior 8 teeth and delivered with composite luting resin. This patient needed veneers originally to care for Tetracycline stained teeth that occurred from inadvertent administration of tetracycline during the years of childhood when the front teeth form. As you can see from the "after" photo, the technology is in place to manage the purple gray of tetracycline staining. I was so happy about our outcome! Dr. M





