Dental Implants Austin
Are you looking for a high-quality and long-lasting solution for missing teeth?
Dental implants provide a natural-looking and attractive smile that can restore your confidence and let you start enjoying life again.
38th Street Dental in Austin, TX, uses high-tech tools and high-end materials to create the stunning smiles our patients deserve.
What Is a Dental Implant?
A dental implant is a small titanium post that is surgically placed in the jawbone, where it mimics a natural tooth root. Dr. Mike Meek and Dr. David J. Tasch at our Austin, TX, dental office use implants from Nobel Biocare®, a leader in the development of implants. For a full tooth restoration, you will need a dental implant, a connector piece called an abutment, and a crown, bridge, or denture to replace the visible portion of your missing teeth. Implants can be used alone or in groups to support a variety of restorations that look like your natural teeth.
Fill the Gaps in Your Smile with Dental Implants
How Many Teeth Are You Missing? We Have a Custom Solution

Missing One Tooth?
When a single tooth is missing, one dental implant can be used to hold a crown (artificial tooth), which will beautifully restore your smile and give you a strong, functioning bite.

Missing a Row of Teeth?
If you are missing a row of teeth, a bridge supported by implants instead of natural teeth is an ideal solution. By using implants, you can avoid altering healthy teeth to restore your smile.

Missing All Teeth?
Dental implants can securely hold an entire denture in place. These dentures will never slip out of place and the dental implants can help stop deterioration of the jawbone.
See What's Possible At 38th Street Dental
Drs. Meek and Tasch in Austin, TX, use the finest dental materials to create lifelike restorations that bring a smile to their patients' faces. Since 1997, our dentists have excelled at solving the problems patients bring to them, from needing full dentures to replacing lost front teeth.
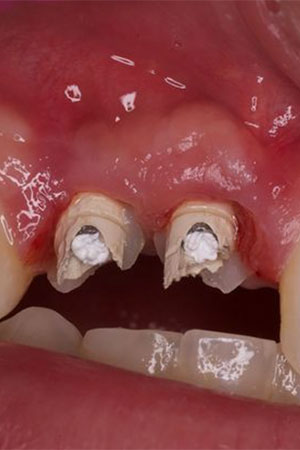
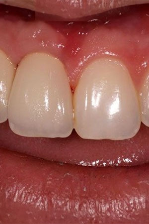
View Before & After Photos of Dental Implants



Are You Ready to Start Smiling Again? Ask Us for a Dentistry Consultation
Drs. Meek and Tasch combine high-tech services with personalized care to bring the best in dental implant and restorative dentistry to Austin. Your consultation typically consists of a thorough evaluation with digital X-rays and cone-beam imaging scans so we have a complete understanding of your needs and the restorative solutions that will serve you best.
We will carefully explain your options so you can make an educated choice about your dental health. Email us with any questions or contact us by phone:

"If you have dental anxiety, this is the place for you!"
From the front office staff to the hygienists to my dentist I felt a very warm welcome!...The whole experience was pain free and all of my questions were answered. If you have dentist anxiety this is the place for you, trust me! :)
View on GoogleAlways a five-star. I've been seeing Dr. Meek for years and he, as well as his office staff, are excellent.
View on GoogleChanging Lives for the Better
We Specialize in Implant Dentistry
Our experienced dentists have advanced training in implant, cosmetic, and restorative dentistry. Dr. Meek is an educator for Nobel Biocare, a leader in implant dentistry, and presents lectures on implant dentistry to dental professionals across the nation.
Your Comfort Comes First
At our practice, patients come first. Each member of our team was carefully selected to ensure patient comfort from the moment you walk through the door. If dental treatment makes you anxious, we offer both nitrous oxide and oral conscious sedation so that you can relax and comfortably receive the treatment you need for optimum oral health.
We Use the Latest and Best Technology
Our dentists' office in Austin is equipped with the latest and best technology to ensure beautiful and long-lasting results. As an added measure of precision, we use a 3D printer to design custom surgical guides for ideal implant placement, a step that also reduces discomfort and speeds recovery.
We Utilize Sophisticated Dental Imaging for Superior Results

3D computed tomography (CT) scanning technology provides your dentist with images of your teeth, soft tissues, and nerves in one scan. Granting us substantially more detailed imagery than a typical X-ray, this resource helps pave the way for safe, effective pre-surgical treatment planning and precise implant placement.
With us, you can feel confident that our state-of-the-art treatment planning technology helps cut down on surgery time and can reduce post-operative pain and swelling. From the moment you visit us for a dental implant consultation, we take every measure to ensure the success of your procedure and your comfort every step of the way.
Making Care Comfortable With Sedation
If you've had poor experiences with dentists in the past, you can rest assured that we'll go above and beyond to change how you feel about dental care. Patients who need extra help relaxing throughout treatment can benefit from oral conscious sedation or nitrous oxide sedation.
Oral conscious sedation is a pill patients take before their surgery to keep them relaxed throughout treatment. Nitrous oxide is a gas that's administered through a nose mask that helps minimize pain and anxiety. While oral conscious sedation will require that someone drive you to and from your appointment, nitrous oxide wears off quickly so you can drive yourself.

We Offer Flexible Financing


Don't Put Off Care Any Longer Give Us a Call
If you're ready to reap the benefits of dental implants and restorations, we want to hear from you. Our team will be transparent about the cost of treatment and work with you to place the cost of your dental implants comfortably in your budget. Get started by reaching out to our Austin dentists.
An Honest and Upfront Team
"Just a wonderful place. Dental care usually scares me but 38th Street Dental is a nice and friendly place with staff that works hard in being open and honest about dental care. They are upfront about the cost and try to work with you. I highly recommend them." Tomas Rodriguez
Am I a Good Candidate for Dental Implants?
Good Periodontal Health
Patients who suffer from gingivitis or periodontal disease are unlikely to be ideal candidates. If you have an infection, your dentist can provide gum disease treatment to ensure these issues are resolved.
Good Overall Health
Dental implant placement is a surgery, so patients must be healthy enough to undergo surgery. Our dentists will review your medical and dental histories during your consultation to determine if you can move forward with treatment.
Sufficient Bone Density
Patients need enough bone density to support and protect the implants. If insufficient jawbone density prevents you from getting an implant, your dentist may first recommend procedures designed to strengthen your jaw.
A Deep Dive Into Preparatory Procedures Your Options for Improving Candidacy
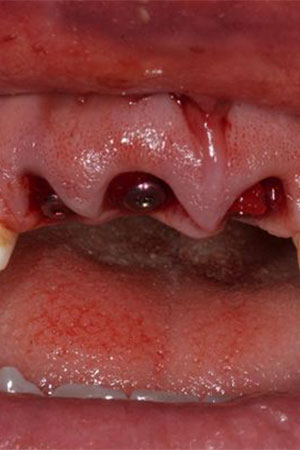
Tooth Extraction
Decayed and otherwise unhealthy teeth that can't be saved with a root canal procedure must be extracted. Our Austin dentists can perform gentle extraction and may be able to extract your tooth and place an implant in the same procedure, streamlining your care.
Bone Grafting
Jawbone atrophy occurs just months after losing a tooth. If your jawbone has atrophied as a result of tooth loss, bone grafting may be necessary before you can undergo implant placement. Our team can use synthetic material or bone from a donor site to add density to your jawbone.
Gum Disease Treatment
Gum disease causes sensitivity, loose teeth, and tooth loss. If you have gum disease, our team can perform a scaling and root planing treatment to remove plaque from above and below the gumline, improving your overall oral health and saving your existing teeth.
Do You Lack the Bone Density Needed for Dental Implants? All-on-4 Dentures May Be a Solution
If you have been told you lack the bone density needed to support dental implants and you aren't a candidate for bone grafting, you may qualify for an implant-supported denture using the All-on-4® method. By strategically placing the dental implants, this advanced technique can hold a denture on just four implants.
This option not only allows many patients to skip bone grafting to receive implants, but also makes it possible to begin wearing an implant-supported denture immediately after implant placement.

"So professional and kind."
I have to say that the entire office staff is very friendly and professional and that the phrase “I hate to go to the dentist” doesn’t apply here.
View on GoogleEveryone at 38th Street is so professional and kind. They always listen to my concerns, and give me the BEST treatment plan, that I can afford.
View on GoogleSee the Dental Implant Process
Dental Implants Treatment Timeline
Are you concerned about dental implant surgery? We offer sedation services so you can stay relaxed throughout treatment.
Have Questions?
The Stunning Results of Dental Implant Placement
Are You Ready to Transform Your Smile? Contact Our Austin Practice
Why continue to suffer with the burden of missing teeth? Dental implants can improve your smile's look, health, and function. In less than a year, you can restore your oral health and protect your teeth and jaw from further damage.
Don't wait for your missing tooth to cause more problems. Contact our Austin, TX, practice today to request your dental implant consultation.
(512) 458-6222

More High Praise for Our Austin, TX, Practice
Can’t say enough about this practice … they are definitely top notch! And pricing is very reasonable as well. Thanks!
View On Google
I received fantastic care from the first contact by phone, and then from moment I walked in through the door until I left...I received wonderful care and attention throughout my visit. 5++stars
Maintaining Your Results
Once your dental crown, bridge, or denture has been secured, you should maintain your oral health by:
- Brushing twice daily
- Flossing once daily
- Maintaining routine dental cleanings
While your restoration may need to be replaced after about 10 years, your dental implant can last a lifetime. Good oral hygiene habits can extend the life of your new restoration and keep your remaining natural teeth healthy.
Dental Implant FAQ
How painful is getting a dental implant?
You may feel some pressure but should not feel any pain during the procedure. You may feel some pain and discomfort in the first three to five days following your surgery. Any pain or swelling can be managed with cool compresses and over-the-counter medication.Can dental implants decay?
No. Dental implants are made of titanium and are not susceptible to bacteria like your natural teeth. However, good oral hygiene habits should still be maintained to protect your surrounding teeth and the foundation of your smile.
When is it too late to get an implant after a tooth extraction?
It is never too late! The earlier you seek treatment, the more likely you are to prevent oral health issues like jawbone atrophy. However, it is never too late to place an implant after a tooth has been extracted and a healthy smile foundation has been confirmed. If oral health issues are affecting your candidacy, we can address them.
What is the success rate of implants?
According to the American Academy of Implant Dentistry, dental implants have a 95% success rate. The likelihood of your implants failing decreases when you trust your care to the experienced and skilled dentists at our Austin, TX, office.
Making Austin Smile
"They’re the best. I have had such bad experiences with dentistry for a variety of reasons at other places. But at 38th St Dental Im always happy with how expert, respectful the team is. Above all, every single person is professional, and focused on high quality. I always leave happy and confident with a super treatment and being treated super to boot. Can’t believe I’m saying it but I’m not scared of the dentist anymore thanks to y’all!!" Andrew Johnston













