Just a Nice Outcome: A Successful Dental Implant Revision
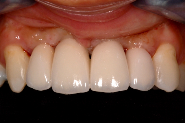
This was a great Tuesday! Late in 2019 this patient came for consult. There was a poorly and improperly placed dental implant in her anterior maxilla along with failing incisors. The patient and her family were interested in a definitive solution. This is our strong suit. Case planning ensued and with our usual robust case collaboration, Dr. Widner(Oral Surgeon) and my team began this awesome corrective dental implant rehabilitation.
Dr. Widner began by removing the failing and improperly placed dental implant and failing incisors. The site was grafted with his usual care and experitse. Implants followed and even later, my team was deployed to design and fabricate the outcome.
This sort of case REQUIRES the expertise of specialists and a team that is dedicated to multidiscipline case execution. That is the unique characteristic of having your reconstruction managed here at 38th Street. Collaboration is the magic that brings the fantastic outcome. If you are considering a reconstruction, please come talk with us. We are certain you will be able to see and feel the difference in planning and case execution.



