FINALLY! Full Contour Zirconia Dental Implant Crown from Nobel Biocare

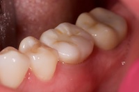
Finally! Finally I get to have my cake and eat it too restoratively. We now have full contour zirconia SCREW retained restorations for the posterior from Nobel Procera. I am delighted because I have enjoyed the durability of full contour zirconia for years and have always wanted this product from Nobel. I can now order a fully authentic Nobel Procera restoration in monolithic zirconia and have the peace of mind that having OEM parts from top to bottom in my restorations. We completed a case this month that was produced while the product was still in beta testing at a limited number of lab partners in the US. Thanks to my new friends at Utah Valley Dental Lab, we were able to give this patient what I consider to be one of the most top quality outcomes currently available in the market place. Thanks a million Nobel!

